คืนรอยยิ้มให้คุณอีกครั้งด้วย

รากฟันเทียม

ที่คลินิกทันตกรรมดีซี จันทบุรี เราให้บริการรากฟันเทียมด้วยเทคโนโลยีทันสมัย โดยทีมทันตแพทย์ผู้เชี่ยวชาญ เพื่อผลลัพธ์ที่แข็งแรงดูเป็นธรรมชาติ และใช้งานได้ยาวนาน
รากฟันเทียม จันทบุรี

เคสแบบไหนที่เหมาะกับ

การทำรากฟันเทียม

รากฟันเทียม จันทบุรี

ข้อดีของการทำ

รากฟันเทียม

เหมือนฟันธรรมชาติ

ช่วยให้คุณสามารถพูดและ เคี้ยวอาหารได้ตามปกติ

เพิ่มความมั่นใจ

ช่วยฟื้นฟูรูปลักษณ์และรอยยิ้มของคุณ ทำให้คุณรู้สึกมั่นใจมากขึ้น

ทนทาน

รากฟันเทียมมีอายุการใช้งานนานและ แข็งแรงกว่าฟันปลอมแบบทั่วไป

ไม่เสียโครงสร้างฟันข้างเคียง

รากฟันเทียมไม่ต้องกรอฟัน กระทบฟันข้างเคียง

ป้องกันการสูญเสียกระดูก

ช่วยลดอัตราการละลายตัว ของกระดูก

ดูแลรักษาง่าย

สามารถแปรงและดูแลรักษาได้เหมือนฟันธรรมชาติ

ทำไมควรเลือกทำรากฟันเทียมที่ DC Dental Clinic

ใช้เครื่องมือทันสมัย

การพัฒนานวัตกรรมทางการแพทย์ในปัจจุบันทำให้การรักษาทางทันตกรรมมีประสิทธิภาพและแม่นยำมากขึ้น
โดยเฉพาะการใช้เทคโนโลยี เครื่อง X-ray 3 มิติ Vatech PaX-i3D Smart และ เครื่องสแกนช่องปาก 3Shape Trios 3 ซึ่งช่วยเพิ่มประสิทธิภาพการวินิจฉัยและการวางแผนการรักษาให้มีความแม่นยำ และมอบผลลัพธ์การรักษาที่ดีที่สุดแก่คนไข้

เครื่อง X-ray 3 มิติ
Vatech PaX-i3D Smart

เครื่องสแกนช่องปาก
3Shape Trios 3

เรียกฟันแข็งแรงกลับคืนด้วย

รากฟันเทียม

ได้ง่ายๆเพียงไม่กี่ขั้นตอน

รากฟันเทียม จันทบุรี

ดูแลโดยทีมทันตแพทย์ผู้เชี่ยวชาญ

สองพี่น้องทันตแพทย์ชาวจันทบุรี ที่พร้อมจะมามอบรอยยิ้มที่สวยงามและประสบการณ์การทำฟันที่น่าประทับใจด้วยเทคโนโลยียุคใหม่ที่ทันสมัยให้กับคนจันท์ โดยทางทีมงานของเรายังประกอบด้วยคุณหมอทันตกรรมทั่วไป คุณหมอเฉพาะทางทุกสาขาพร้อมให้บริการ

รวมเคสรีวิว

โดยทันตแพทย์ผู้เชี่ยวชาญ

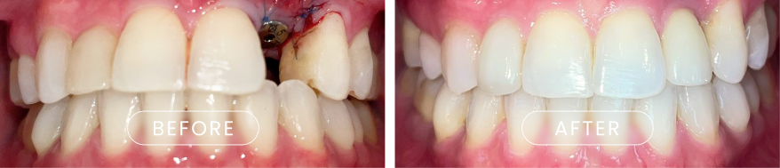
เคสรากฟันเทียม

โดย ทพญ.ดรัณ

รากฟันเทียม จันทบุรี

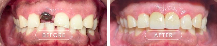
เคสรากฟันเทียม

โดย ทพญ.เพลิน

รากฟันเทียม จันทบุรี

เคสรากฟันเทียม

โดย ทพญ.ดรัณ

รากฟันเทียม จันทบุรี

เคสรากฟันเทียม

โดย ทพญ.เพลิน

เคสรากฟันเทียม

โดย ทพญ.ดรัณ

ได้รับความไว้วางใจ

จากคนไข้อีกมากมาย

โปรโมชั่นและราคา

รากฟันเทียม

รากฟันเทียม จันทบุรี
รากฟันเทียม จันทบุรี
รากฟันเทียม จันทบุรี
รากฟันเทียม จันทบุรี

เพราะรอยยิ้มของคุณคือความสุขของเรา

รีวิวจากผู้ใช้บริการจริง

คลินิกทันตกรรมดีซี

หมอน่ารักมาค่ะพูดเพราะ บอกก่อนทุกขั้นตอนการทำ มือเบามากค่ะ ราคามิตรภาพ ดูแลดีมากค่ะ จากที่กลัวการรักษารากฟัน ตอนนี้คือความคิดเปลี่ยนเลยค่ะ คลินิกสะอาด พนักงานพูดเพราะ

คลินิกสะอาด ทันสมัยให้บริการดีมากเลยค่ะ ผ่าฟันคุดครั้งแรกรู้สึกประทับใจมาก คุณหมอใจดีให้คำแนะนำดีมาก ระหว่างรักษาคุณหมอเปิดเพลงให้ฟังความกลัวหายไปเลย ก่อนวันรักษา คลินิกจะโทรมาเตือนนัดด้วยประทับใจสุดๆเลยค่ะ

Just came and the doctor Daran treated me and my teeth very well, understanding how afraid I'm about machines. Besides doing an excellent job, she distracted me being careful and delicate with me. Wish you a happy life

ติดต่อเรา

คลินิกทันตกรรมดีซี

คลินิกทันตกรรมดีซี

คลินิกรากฟันเทียม จันทบุรี ตั้งอยู่ตรงข้ามเซเว่นทางเข้าโรบินสันจันทบุรี ติดธนาคารทหารไทยธนชาต (ธนาคาร ttb)

ลงทะเบียน

รับสิทธิพิเศษก่อนใคร

Contact Form Implant
Scroll to Top